Ruff Findings: Uncovering a Rib Mass in a Juvenile Dog
Signalment
Age: 1.5 years old
Gender: Neutered Male
Species: Canine
Breed: American Staffordshire Terrier
Weight: 42.3 kg
History
Patient presented to his primary veterinarian for hemoptysis and left thoracic swelling. He was referred to the ER for further workup and stabilization.
Ultrasound Findings
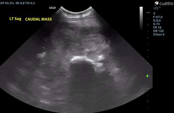
Left thorax: There is a heterogeneous, mixed echogenic mass with punctate mineralization throughout, measuring at least 9.3 x 9.8 cm. The mass encompasses a left caudal rib from the lateral aspect of the rib extending into the pleural space. Within the mass, there are areas of disruption of the normal smooth contour of the rib margin, suggesting osteolysis. There is a moderate amount of mildly echogenic pleural effusion noted with suspended hyperechoic strands consistent with fibrin strands or pleural adhesions.
Right thorax: There is a mild to moderate amount of mildly echogenic pleural effusion noted with suspended hyperechoic strands consistent with fibrin strands or pleural adhesions. Within the caudal thorax, there is a rounded, 6.0 x 6.2 cm, heterogeneous, hyperechoic mass visualized within a consolidated lung lobe.
Abdominal Ultrasound Interpretation
Pleural Effusion: The findings are moderate to severe.
DDx:
- Other pleural space disease:
- Masses
- Pneumothorax
- Constrictive/fibrosing pleuritis (can occur concurrently with pleural effusion—often chylothorax or pyothorax—and typically causes very rounded lung lobe contours that may be difficult to distinguish radiographically from those caused by pleural effusion).
- Pulmonary parenchymal or airway disease
- Thoracic wall disease
- Diaphragmatic hernia
- Neuromuscular disease
- Lung lobe torsion
Extra-pleural (rib/thoracic wall) Mass: The findings are moderate to severe.
DDx: Osteosarcoma vs. chondrosarcoma vs. fibrosarcoma.
Lung Mass(es): The findings are moderate and indicate either metastatic or primary pulmonary neoplasia are likely (lung abscess or other benign lesion vs. fungal infection or parasitism cannot be ruled out without biopsy).

Image 1: Heterogenous mass distorting the margin of the rib and demonstrating signs of osteolysis and osteoproliferation.
Recommendations
The findings in this study are consistent with an extra-pleural mass (potentially rib osteosarcoma) with invasion into the pleural space, as well as suspected pulmonary metastasis. Fine-needle aspirates were obtained from the extra-pleural mass for cytologic evaluation and were found to be metastatic neoplasia (possibly sarcoma). See full cytology report attached.
Approximately 2 liters of grossly hemorrhagic pleural effusion was removed via ultrasound-guided thoracocentesis. Consider PCV/TS and fluid cytology to better define the nature of the fluid obtained.
Oncology referral is recommended for optimum treatment plan/options. A CT may be recommended for a more comprehensive mapping of the pathologies noted.
In the interim, consider yunnan baiyao to help with hemostasis as well as pain medication for palliation. If hospitalization for 24-hour care/monitoring is not possible, advise owner to monitor for increased discomfort, development of pale mucous membranes, increased respiratory rate/effort, etc.
Consider other diagnostics/therapeutics as clinical signs dictate.
Further Testing
Cytologic Analysis
Anatomic Location: Thoracic wall mass
DIAGNOSIS
Malignant neoplasia, possible sarcoma
COMMENTS
Cytologic findings are consistent with malignant neoplasia at this site, confidence 100%. Given the cytomorphology of the cells, sarcoma is considered likely. However, the cells are very undifferentiated, and a carcinoma or atypical round cell tumor cannot be completely excluded. Differentials include rhabdomyosarcoma, histiocytic sarcoma, osteosarcoma, and hemangiosarcoma. Biopsy with histopathology would be recommended for further characterization of this neoplastic population, as clinically indicated.
MICROSCOPIC DESCRIPTION
The sample is of focally moderate to high cellularity and adequate preservation. Large rounded to occasionally fusiform neoplastic cells are present on a pale basophilic background with variable amounts of erythrocytes and fewer mixed leukocytes. The neoplastic cells have distinct cellular borders in a small amount of medium to deeply basophilic cytoplasm, sometimes perinuclear clearing, and other times containing clear round vacuoles. The nucleus is oval to round, occasionally indented with stippled immature chromatin, measuring 1.5 to 3 times the size of an erythrocyte with 1-4 variably sized basophilic nucleoli. There is moderate anisocytosis and anisokaryosis observed. Mitotic figures are seen frequently throughout. Occasional karyomegalic cells with pink migrating, four times the size of an erythrocyte, are seen on scanning. Admixed are non-degenerate neutrophils, few small mature lymphocytes, and mildly to moderately vacuolated macrophages containing phagocytosed cellular debris. No infectious agents are identified.
Outcome
Unfortunately, the owner elected for humane euthanasia due to quality of life, disease progression, and prognosis.
Discussion
In many cases involving juvenile patients, neoplasia is not considered; however, certain neoplasms affect young animals more commonly. This is a sad example demonstrating that. While histopathology was necessary for definitive characterization of the malignant neoplasm in this case, osteosarcoma is the most common bone neoplasm, accounting for up to 85% of all primary bone cancers, and would be considered a top differential. Osteosarcoma has a bimodal distribution with respect to age and is typically highly metastatic and aggressive with a median survival time reported to be 4.5 months with amputation alone.
References
1. Ehrhart EP, Christensen NI, Fan TM, et al: Tumors of the Skeletal System. Withrow & MacEwen's Small Animal Clinical Oncology, 6th 2020 pp. 524-64.
2. Spodnick GJ, Berg J, Rand WM, Schelling SH, et al: Prognosis for dogs with appendicular osteosarcoma treated by amputation alone: 162 cases (1978-1988). J Am Vet Med Assoc 1992 Vol 200 (7) pp. 995-99.
Sonographer: Danny Laderberg, DVM
Special thanks to Peninsula Animal Referral Center and Eastern Vet Path for their collaboration on this case!